الحالات قبل وبعد
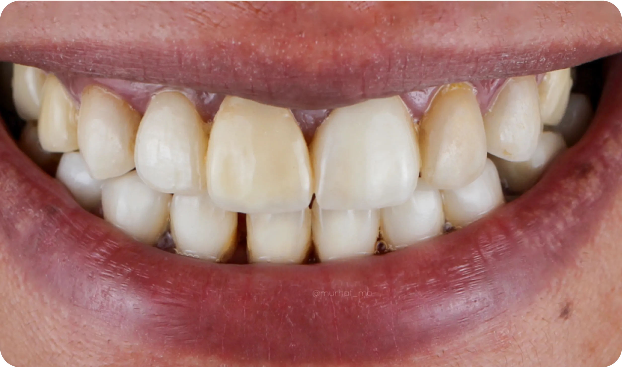
اكتشفي نتائج حقيقية لعملائنا في حالات قبل وبعد اسنان في جلام كلينيك، واكتشفي الفرق الحقيقي الذي تصنعه خبرة أطبائنا باستخدام أحدث تقنيات تجميل الأسنان لتحقيق ابتسامة مثالية ونتائج طبيعية.
BeforeAfter
BeforeAfter
BeforeAfter
BeforeAfter
BeforeAfter
BeforeAfter
BeforeAfter
BeforeAfter
BeforeAfter
BeforeAfter
BeforeAfter
BeforeAfter
BeforeAfter
BeforeAfter
BeforeAfter
BeforeAfter
BeforeAfter
BeforeAfter
BeforeAfter
BeforeAfter
BeforeAfter
BeforeAfter
BeforeAfter
BeforeAfter
BeforeAfter
BeforeAfter
BeforeAfter
BeforeAfter
